Xem trang đào tạo trực tuyến
Phần bài tập tự thực hành
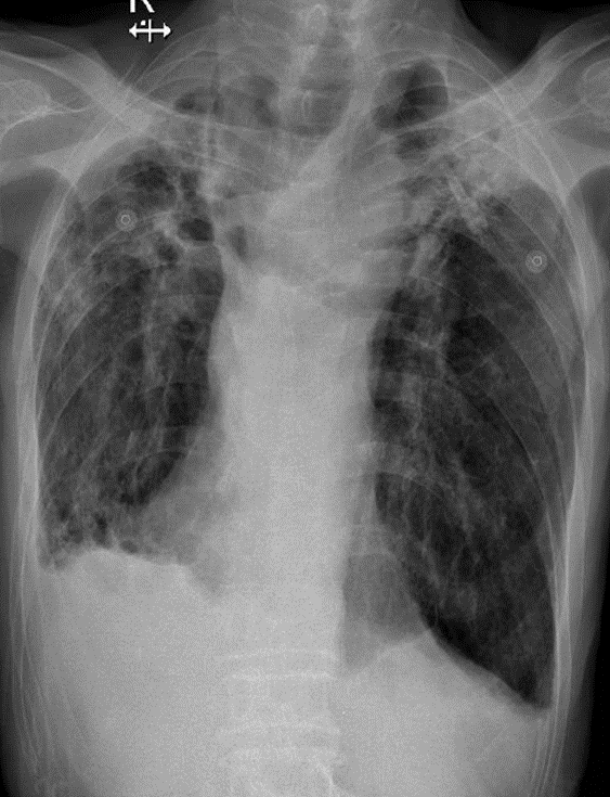
Hãy phân tích tình huống nữ 86 tuổi
1-Khí quản lệch(P) 2-Xơ xẹp đỉnh phổi hai bên 3-Tràn dịch + dày dính màng phổi hai bên
Xem kết quả
Câu mới