Xem trang đào tạo trực tuyến
Phần bài tập tự thực hành
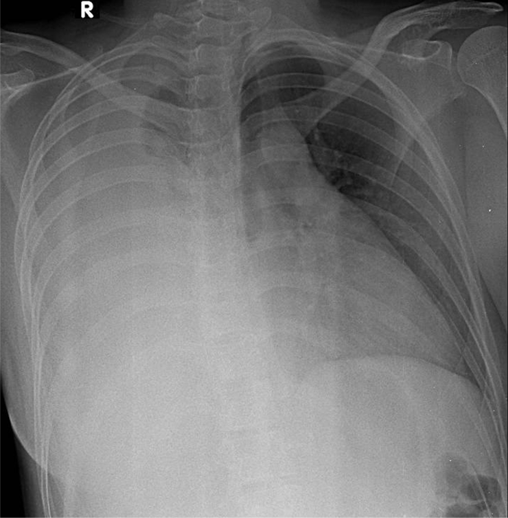
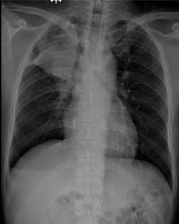
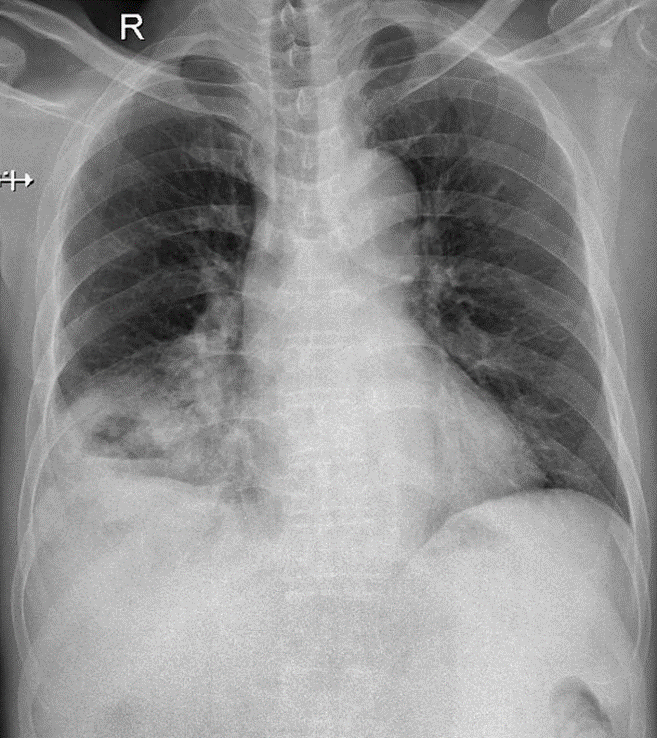
Hãy phân tích tình huống Nữ 54 tuổi -CĐ:Tràn dịch màng phổi (P) lượng nhiều nghi do lao
1-Khí quản lệch (T) 2-Tràn dịch màng phổi (P) lượng nhiều 3-Bóng tim và trung thất lệch (T)
Xem kết quả
Câu mới